矯正歯科の症例
- HOME
- 矯正歯科の症例
矯正歯科の症例
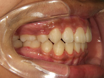
叢生(歯の重なり・ガタガタ)
中学生(女性)・・・ガタガタが気になる
~治療前~



~治療後~

ズレていた上下顎前歯の中心も一致しました。

緊密にかみ合っています。

きれいにそろいました。
- 主訴:
- ガタガタが気になる
- 所見:
- 犬歯の低位唇側転位、叢生
- 治療方法:
- 上下非抜歯、歯列拡大
- 治療の費用:
- 基本施術料 580,000円
処置料 3,500円×30回=10,5000円 - 通院回数:
- 30回
- 治療期間:
- 2年6カ月
- 治療内容:
- マルチブラケット装置による非抜歯治療
- 治療でのデメリット:
- 歯根吸収(今回の治療では歯根吸収なし)
歯肉退縮(今回の治療では歯肉退縮なし)
大学生(女性)・・・八重歯が気になる
~治療前~



~治療後~

歯列内におさまりました。

かみ合せは改善しました。

きれいにならびました。
- 主訴:
- 八重歯が気になる
- 所見:
- 犬歯の低位唇側転位、叢生
- 治療方法:
- 上下両側第一小臼歯抜去
- 治療の費用:
- 基本施術料 580,000円
処置料 3,500円×33回=11,5500円 - 通院回数:
- 33回
- 治療期間:
- 2年9カ月
- 治療内容:
- マルチブラケット装置による上下抜歯治療
- 治療でのデメリット:
- 歯根吸収(今回の治療では歯根吸収なし)
歯肉退縮(今回の治療では歯肉退縮なし)
成人(女性)・・・歯が重なっている、かみ合わせが深い
~治療前~



~治療後~

正しいかみ合わせになりました。

かみ合わせも良くなりました。

重なっていた前歯もきれいになりました。
- 主訴:
- 歯が重なっている・かみ合わせが深い
- 所見:
- 上下顎前歯ならびに臼歯部叢生、過蓋咬合
- 治療方法:
- 上下両側第一小臼歯抜去
- 治療の費用:
- 基本施術料 580,000円
処置料 3,500円×26回=91,000円 - 通院回数:
- 26回
- 治療期間:
- 2年3カ月
- 治療内容:
- マルチブラケット装置による上下抜歯治療
- 治療でのデメリット:
- 歯根吸収(今回の治療では歯根吸収なし)
歯肉退縮(今回の治療では歯肉退縮なし)
上顎前突(出っ歯)
中学生(男性)・・・出っ歯が気になる
~治療前~



~治療後~

歯の重なりもなくなりました。

出っ歯は改善しました。

きれいにならびました。
- 主訴:
- 出っ歯が気になる
- 所見:
- 上顎前突、上下正中線不一致
- 治療方法:
- 上下両側第一小臼歯抜去
- 治療の費用:
- 基本施術料 580,000円
処置料 3,500円×31回=108,500円 - 通院回数:
- 31回
- 治療期間:
- 2年6カ月
- 治療内容:
- マルチブラケット装置による上下抜歯治療
- 治療でのデメリット:
- 歯根吸収(今回の治療では歯根吸収なし)
歯肉退縮(今回の治療では歯肉退縮なし)
成人(男性)・・・出っ歯が気になる、発音がしにくい
~治療前~



~治療後~

歯の重なりもなくなりました。

出っ歯は改善しました。

きれいにならびました。
- 主訴:
- 出っ歯が気になる. 発音がしにくい
- 所見:
- 上顎前突、上下正中線不一致
- 治療方法:
- 上下両側第一小臼歯抜去
- 治療の費用:
- 基本施術料 580,000円
処置料 3,500円×27回=94,500円 - 通院回数:
- 27回
- 治療期間:
- 2年3カ月
- 治療内容:
- マルチブラケット装置による上下抜歯治療
- 治療でのデメリット:
- 歯根吸収(今回の治療では歯根吸収なし)
歯肉退縮(今回の治療では歯肉退縮なし)
下顎前突(受け口)
成人 (女性)・・・下の顎が出ている
~治療前~



~治療後~


にならびました。

- 主訴:
- 下の顎が出ている
- 所見:
- 下顎前突、右側第一小臼歯唇側転位
前歯反対咬合 - 治療方法:
- 下両側第一小臼歯抜去
- 治療の費用:
- 基本施術料 580,000円
処置料 3,500円×29回=101,500円 - 通院回数:
- 29回
- 治療期間:
- 2年6カ月
- 治療内容:
- マルチブラケット装置による下顎抜歯治療
- 治療でのデメリット:
- 歯根吸収(今回の治療では歯根吸収なし)
歯肉退縮(今回の治療では歯肉退縮なし)
成人(女性)・・・受け口が気になる、歯が重なっている
~治療前~



~治療後~

歯の重なりもなくなりました。

かみ合わせになりました。

きれいな歯列になりました。
- 主訴:
- 受け口が気になる. 歯が重なっている
- 所見:
- 上顎前突、上下正中線不一致
- 治療方法:
- 下両側第一小臼歯抜去
- 治療の費用:
- 基本施術料 580,000円
処置料 3,500円×34回=119,000円 - 通院回数:
- 34回
- 治療期間:
- 2年10カ月
- 治療内容:
- マルチブラケット装置による下顎抜歯治療
- 治療でのデメリット:
- 歯根吸収(今回の治療では歯根吸収なし)
歯肉退縮(今回の治療では歯肉退縮なし)
開咬(上下前歯の離開)
高校生 (女性)・・・前歯がかみ合っていない、八重歯が気になる
~治療前~



~治療後~

きれいにかみ合うようになりました。

奥歯も正しいかみ合わせになりました。

- 主訴:
- 前歯がかみ合っていない. 八重歯がきになる
- 所見:
- 前歯開咬、叢生
- 治療方法:
- 上顎犬歯抜去 下顎第一小臼歯抜去
- 治療の費用:
- 基本施術料 580,000円
処置料 3,500円×15回=52,500 - 通院回数:
- 15回
- 治療期間:
- 1年3カ月
- 治療内容:
- マルチブラケット装置による上下抜歯治療
- 治療でのデメリット:
- 歯肉退縮(今回の治療では歯肉退縮なし)
空隙歯列(すきっ歯)
成人 (男性)・・・前歯のすき間が気になる
~治療前~



~治療後~


奥歯も正しいかみ合わせになりました。

- 主訴:
- 前歯の隙間が気になる
- 所見:
- 上顎正中部ならびに下顎歯列に空隙がみられる
- 治療方法:
- 非抜歯
- 治療の費用:
- 基本施術料 580,000円
処置料 3,500円×10回=35,000円 - 通院回数:
- 10回
- 治療期間:
- 1年0カ月
- 治療内容:
- マルチブラケット装置による上下非抜歯治療
- 治療でのデメリット:
- 歯根吸収(今回の治療では歯根吸収なし)
歯肉退縮(今回の治療では歯肉退縮なし)